La dysplasie de la hanche
La plupart des propriétaires de grands chiens sont conscientisés à ce fléau. La dysplasie de la hanche… On la redoute et la craint. Mais qu’est-ce que c’est exactement? La dysplasie de la hanche est une malformation de l’articulation coxo-fémorale au niveau du bassin. Elle a une origine héréditaire mais il plane encore quelques mystères sur la condition car son développement est également influencé par d’autres facteurs comme l’alimentation et l’exercice. La dysplasie est très fréquente chez les chiens de grande races, affectant de 20 à 50% de la population.
Qu’est-ce que la dysplasie de la hanche?
L’articulation de la hanche est formée par la tête fémorale bien ronde qui doit s’emboiter parfaitement dans l’acétabulum (une cavité en forme de coupole dans l’os du bassin). Quand l’articulation est normale, le glissement se fait bien et aucun mouvement anormal n’est permis. Chez un chien dysplasique, il y aura un défaut dans la conformation de l’articulation et une laxité ligamentaire – l’articulation étant alors plus lâche et instable, il se produit une subluxation lors de la démarche. Ces mouvements anormaux vont créer des chocs au niveau des cartilages articulaires. Ceux-ci s’usent donc prématurément, ce qui empêche encore davantage le bon glissement de l’articulation. S’ensuit donc un cercle vicieux qui amène au développement d’arthrose qui s’amplifiera avec le temps.
Quels seront les symptômes chez mon chien?
Les signes cliniques chez un chien dysplasique seront très variables d’un chien à l’autre selon le degré de dysplasie, mais également selon le degré de tolérance à la douleur. L’âge d’apparition des symptômes est aussi imprévisible. On note souvent une anomalie de démarche – elle peut se traduire par une boiterie évidente, mais souvent plus par une raideur et un faiblesse de l’arrière-train. Le chien va marcher par petits pas, en louvoyant le train postérieur pour tenter de faire bouger le moins possible l’articulation de la hanche. Il peut courir en effectuant des sauts de lapins, donc en se propulsant avec les deux membres postérieurs à la fois. On note souvent une difficulté à se relever, principalement après une période de repos suivant des exercices. Il devient plus difficile pour le chien de grimper dans la voiture, monter les escaliers, se hisser sur le sofa… Tous les symptômes seront aggravés lors de temps froids et humides.
Comment diagnostique-t-on la dysplasie?
Pour prouver que le chien est bel et bien affecté de la dysplasie de la hanche, on commencera d’abord par un bon examen physique. Le vétérinaire observera la démarche du chien. Il est parfois possible de sentir la subluxation des hanches en plaçant les mains sur le bassin pendant que l’animal marche (on ressent un cloc caractéristique). On observera souvent une perte de la masse musculaire au niveau d’une ou des deux cuisses. Le vétérinaire remarquera une perte d’amplitude de mouvement à la manipulation des hanches; il est alors impossible de les étirer aussi loin vers l’arrière. Le chien peut démontrer des signes d’inconfort à la manipulation.
Le diagnostic réel se fait par radiographies. Le chien devra idéalement être sédationné ou anesthésié pour permettre de diminuer son tonus musculaire et faciliter les manipulations. Le vétérinaire pourra alors palper les hanches sous anesthésie pour déterminer s’il y a présence d’un Ortolani, donc s’il y a une subluxation des hanches. Les radiographies permettent de montrer la conformation de l’articulation. On vérifie si la tête fémorale est bien ronde et bien enfoncée dans l’acétabulum (coupole au niveau du bassin), s’il y a présence d’incongruence articulaire ou d’arthrose.
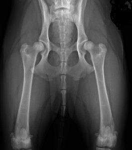
Voici ici des hanches normales. Les têtes fémorales sont bien rondes et entrées profondément dans l’articulation. L’espace articulaire est bien égal indiquant une bonne congruence. Les rebords osseux sont lisses, indiquant l’absence d’ostéoarthrose.
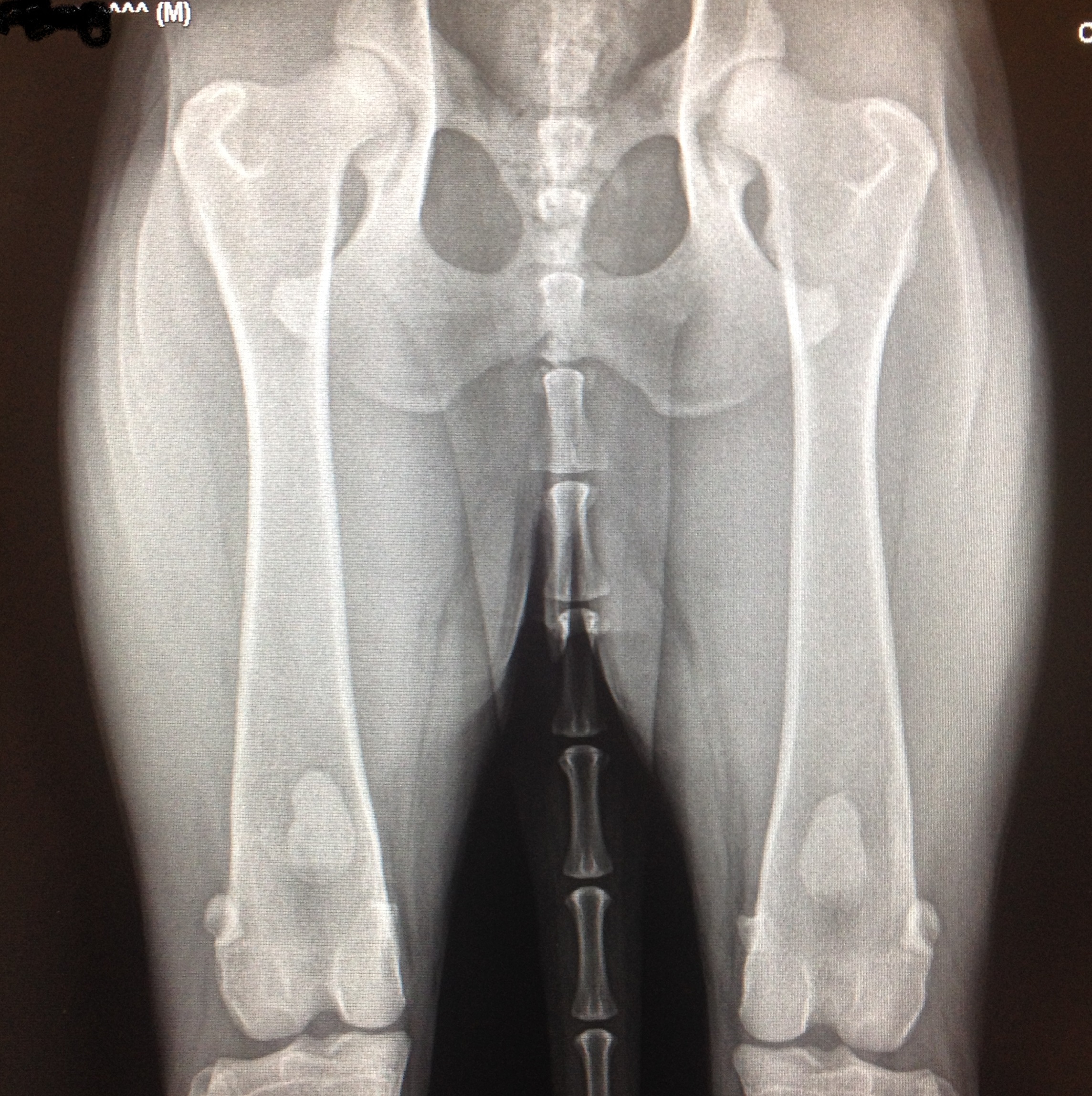
Les deux radiographies montrent des hanches avec une laxité articulaire. Ce sont les premiers signes de dysplasie. On observe souvent ce type de radiographie chez de jeunes chiens dysplasiques. Les têtes fémorales ne sont pas bien enfoncées dans l’articulation. L’espace articulaire est inégal. Les rebords osseux sont encore lisses démontrant encore peu d’ostéoarthrose, qui ne manquera toutefois pas d’arriver avec les années.
Voici des hanches d’un chien dysplasique. L’ostéoarthrose a envahit les hanches. On voit facilement que la tête fémorale est déformée par du remodelage osseux de l’articulation qui tente en vain de se stabiliser pour se protéger.
Est-ce traitable?
Divers traitements existent pour la dysplasie de la hanche. Les chirurgies, bien que dispendieuses, sont la méthode curative la plus efficace. Le traitement idéal lors de détection précoce est la triple ostéotomie du bassin. Le bassin sera donc modifié pour être repositionné par dessus les hanches pour permettre de prévenir la subluxation. Pour les chiens de taille moyenne très actifs, l’arthroplastie peut être effectuée. Il s’agit de couper et retirer la tête du fémur, empêchant ainsi les frottements des cartilages et enlevant la douleur. L’articulation est moins solide par contre n’étant tenue que par des muscles. Cette chirurgie est donc réservée pour les chiens actifs qui vont conserver une bonne masse musculaire. La prothèse totale de hanche demeure le choix idéal puisqu’on remplace totalement l’articulation. La nouvelle articulation ainsi formée est donc totalement fonctionnelle. La dernière option consiste en la dénervation de la capsule articulaire. On coupe donc les nerfs sensitifs qui transmettent les signaux de douleur au cerveau. La maladie est toujours présente et continue d’évoluer, mais l’animal n’en souffre plus.
Si la chirurgie n’est pas une option pour vous et/ou votre chien, une panoplie de traitements médicaux aideront votre chien pour le rendre le plus confortable possible et ralentir l’évolution de la maladie. On parle de thérapie multimodale; c’est-à-dire qu’on va agir à de nombreux niveaux pour obtenir la plus grande amélioration possible. La première étape, la plus importante, est de s’assurer que votre animal a un poids santé. En effet, chaque livre en trop apporte un stress supplémentaire sur les articulations et les cellules graisseuses libèrent des médiateurs de l’inflammation. Si votre animal souffre d’embonpoint, il faudra donc débuter par un régime amaigrissant. Le chien dysplasique doit faire de l’exercice de faible impact régulièrement. Le mouvement permet de conserver une bonne masse musculaire et d’ainsi limiter les chocs aux articulations. Les chondroprotecteurs ou protecteurs de cartilage telles que la glucosamine et chondroïtine et les injections de cartrophen aident à retarder la dégradation des cartilages articulaires. Ils contribuent à la formation de liquide synovial (lubrifiant de l’articulation) et diminuent le relâchement des médiateurs de l’inflammation dans l’articulation. Les nourritures articulaires aident aussi beaucoup à la condition de l’animal en étant bourrées d’oméga 3 agissant comme des anti-inflammatoires naturels et d’antioxydants pour prévenir l’inflammation. Dans les cas plus avancés, certains animaux auront besoin de recevoir un médicament anti-inflammatoire sur une base régulière. Il faudra choisir une médication conçue pour un usage à long terme chez le chien afin de ne pas causer de tort à l’animal à long terme.
Est-ce qu’on peut la prévenir?
La clé de la prévention réside dans le bon choix des animaux reproducteurs. Les éleveurs consciencieux font faire des radiographies du bassin du mâle et de la femelle à l’âge de 2 ans avant l’accouplement. Ces radiographies seront envoyées à l’Orthopedic Foundation For Animals (http://www.offa.org/) afin d’avoir une évaluation des hanches. Idéalement, seuls les animaux avec une conformation bonne à excellente devraient être reproduits. Il vous sera possible, avec le numéro d’enregistrement des parents, de vérifier toute la généalogie de ceux-ci afin de s’assurer également que les frères et les sœurs des parents n’étaient pas dysplasiques. Il est bien évident que des chiens avec certification et garantie seront plus chers à l’achat, mais vous économiserez énormément en chirurgie, médications, suppléments et surtout, en tristesse et inquiétudes.
Sinon, sans la séléction génétique, il est important de fournir à votre chiot une alimentation de bonne qualité formulée spécifiquement pour les chiots de grande race en croissance. Cette alimentation sera parfaitement balancée en nutriments et minéraux pour permettre une croissance la plus constante possible et bien équilibrée entre les muscles et les os.
Il est également important d’éviter les exercices trop violents à votre jeune chiot en croissance. Il est également possible d’effectuer une radiographie de dépistage précoce lors de la stérilisation de votre animal. Bien qu’il soit trop tôt à ce stade pour être certain qu’il ne souffrira pas de dysplasie, cela permettra de détecter les cas sévères nécessitant une chirurgie, de savoir s’il faut éviter certains types d’activités à votre animal ou s’il serait bon de débuter des protecteurs de cartilage.








![f3[1]](http://www.cvvalmont.com/wp-content/uploads/2014/06/f31-80x80.jpg)

Répondre
Want to join the discussion?Feel free to contribute!